Documents & Evidence Updates
-

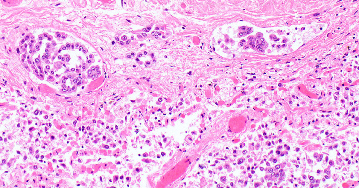
Pathology Report Excerpt Confirming Mesothelioma Diagnosis
This post documents a limited excerpt from a pathology report confirming the diagnosis of malignant mesothelioma in Dorothy Lillian Jay. The image shown below is a partial, redacted excerpt of the original pathology report. The full report is not published in order to protect medical privacy and because only specific diagnostic confirmation is relevant to…
-

New Primary Sources Added: ONR Newsletter and UNIVAC Oral History
Two primary-source documents have been added to the CW Jay Archive to support and contextualize early naval computing activity at the Philadelphia Naval Shipyard. These materials are unclassified, contemporaneous, and originate from independent sources—one institutional and one personal—providing complementary perspectives on UNIVAC system deployment and operation. Office of Naval Research Newsletter (1959) A newsletter issued…